전자 디바이스 업계
디지털 마이크로스코프를 이용한 파워 반도체(파워 디바이스)의 관찰·측정
반도체 중 CPU 및 메모리가 대표적이지만, 파워 반도체는 데이터를 처리하는 것이 아닌 전력을 제어하는 반도체로 파워 디바이스라고 합니다. 여기에서는 디지털 마이크로스코프를 이용한 파워 반도체(파워 디바이스) 관찰·측정 사례를 소개합니다.

파워 반도체란
파워 반도체는 명확하게 정의되어 있지는 않지만 큰 전압·전류를 제어하는 반도체로, 일반적으로 정격 전류가 1 A 이상인 경우 파워 반도체라고 합니다.
파워 반도체의 기능
- 인버터:
- 직류를 교류로 변환.

- A: 인버터
- a: 직류
- b: 교류
- 컨버터:
- 교류를 직류로 변환.

- A: 컨버터
- a: 교류
- b: 직류
- 주파수 변환:
- 교류 주파수를 변환.

- A: 주파수 변환
- a: 교류
- 레귤레이터:
- 직류 전압을 변환.

- A: 레귤레이터
- a: 직류
파워 반도체의 종류와 특징
파워 다이오드
기능: 정류
스위칭 없이 한 방향으로만 전류를 흘려보냅니다.
파워 트랜지스터
기능: 스위칭과 증폭
- 사이리스터
- 가장 빨리 실용화되었으며 고내압이 특징입니다.
- 파워 MOS FET(금속 산화막 반도체 전계 효과 트랜지스터)
- 고속·고주파가 특징입니다. 약 200 V 이내의 저내압 영역에서는 파워 MOS FET이 일반적입니다. 노트북/IT 기기가 대표적입니다.
- IGBT(절연 게이트 양극성 트랜지스터)
- 고내압인 동시에 고속·고주파라는 특징이 있습니다. 200 V 이상의 중·고내압 영역에서는 IGBT가 많이 사용됩니다. EV/하이브리드 자동차/철도 차량이 대표적입니다.
디지털 마이크로스코프를 이용한 파워 반도체(파워 디바이스) 관찰·측정 사례
KEYENCE의 4K 디지털 마이크로스코프 「VHX 시리즈」를 이용한 파워 반도체의 최신 관찰·측정 사례를 소개합니다.


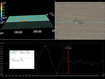
파워 반도체의 불량 부분 관찰
Optical Shadow Effect Mode로 요철을 가시화하여 불량 부분이 부착인지 함몰인지 순식간에 판단할 수 있습니다.


파워 반도체 웨이퍼 원료의 관찰
링 제거 기능을 사용해 표면의 헐레이션을 없앨 수 있습니다.


파워 반도체의 몰드 수지 내 필러(충전제) 관찰
HDR 기능을 사용하면 콘트라스트가 향상되므로 필러의 형상을 정확하게 측정할 수 있습니다.




